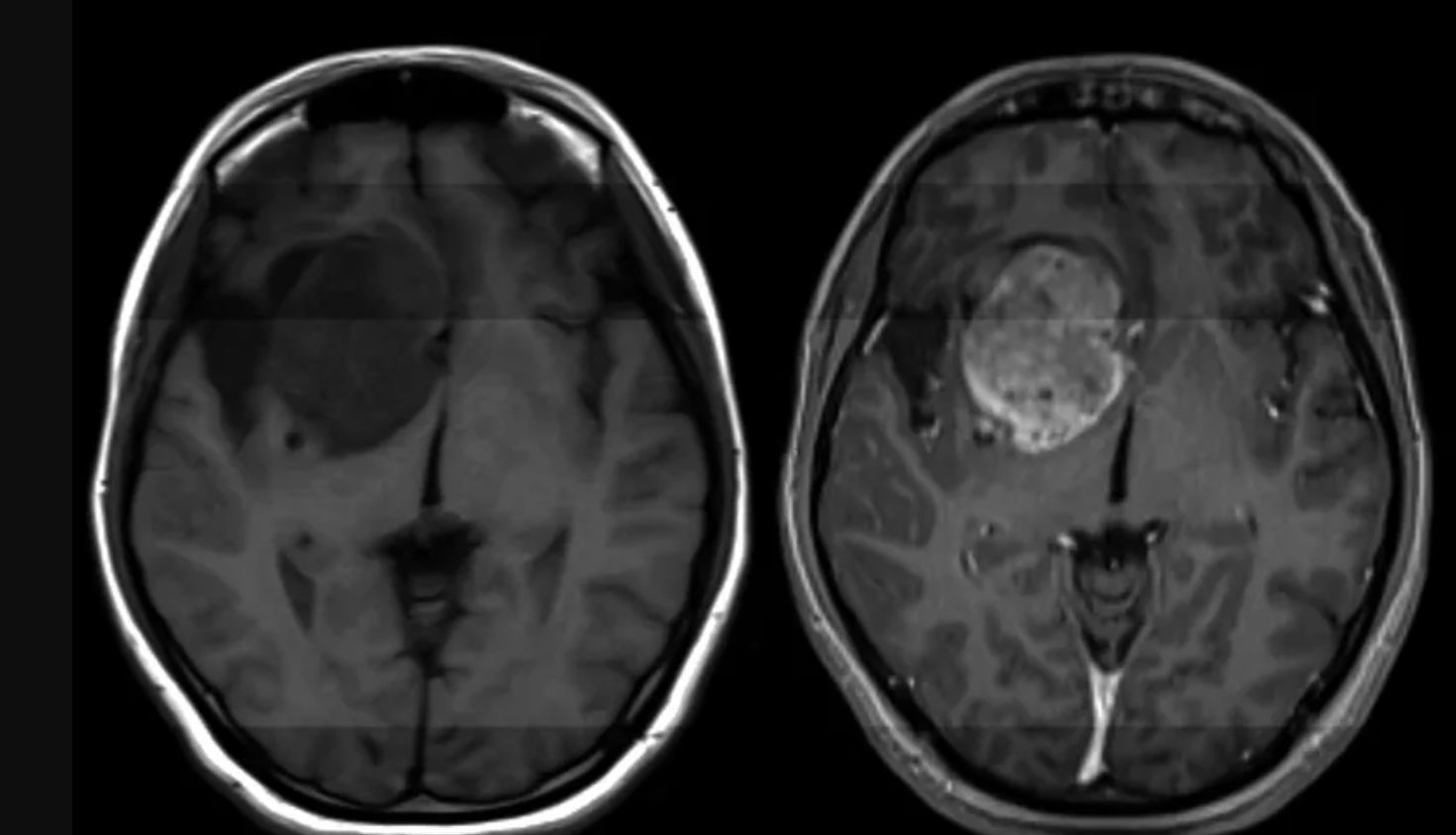
Ας μια άκρως πολύ σημαντική εξέλιξη όσον αφορά την παθολογία του γλιοβλαστώματος, ένας από τους πιο συχνούς καρκίνους του εγκεφάλου για τον οποίο αυτή τη στιγμή δεν υπάρχει κάποιου είδους θεραπεία. Ερευνητές σε επιστημονική δημοσίευσή τους στο Science Translational Medicine, αναφέρουν ότι κατάφεραν να βρουν τρόπο να τον καταπολεμήσουν.
Σύμφωνα με στοιχεία, κάθε χρόνο περισσότεροι από 14.000 άνθρωποι στις ΗΠΑ διαγιγνώσκονται με γλοιοβλάστωμα, ένας επιθετικός, απρόβλεπτος και χωρίς δυνατότητα πρόληψης καρκίνος στον εγκέφαλο.
Καθένας από αυτούς τους νέους ασθενείς στους οποίους γίνεται διάγνωση του εν λόγω καρκίνου θα ζήσει κατά μέσο όρο για 12 με 18 μήνες χωρίς να υπάρχει κάποια θεραπεία και μόλις μία στις 20 περιπτώσεις θα καταφέρει να παραμείνει εν ζωή μετά από 5 έτη.
«Το γλοιοβλάστωμα είναι μια καταστροφική ασθένεια. Ουσιαστικά δεν υπάρχει αποτελεσματική θεραπεία», δήλωσε ο Hui Li, ερευνητής στο Τμήμα Παθολογίας της Ιατρικής Σχολής του Πανεπιστημίου της Βιρτζίνια.
Δείτε ακόμη: Ανάκληση και απόσυρση κινητού τηλεφώνου από την Ελληνική αγορά λόγω ακτινοβολίας
Η ενδεχόμενη θεραπεία
Πρόσφατα όμως, η ομάδα του ερευνητή προέβη στην ανακοίνωση μιας σημαντικής εξέλιξης στη διαδικασία ανάπτυξης της θεραπείας για το γλοιοβλάστωμα.
Πιο συγκεκριμένα, μιλάνε για την αναγνώριση ενός συγκεκριμένου μορίου, το οποίο μπορεί να μπλοκάρει τη δραστηριότητα του ογκογονιδίου, του γονιδίου δηλαδή, που έχει τη δυνατότητα να προκαλέσει καρκίνο.
Το καινοτόμο στοιχείο στην εν λόγω μέθοδο είναι ότι στοχεύουμε μια πρωτεΐνη από την οποία εξαρτώνται αποκλειστικά τα κύτταρα του γλοιοβλαστώματος και μπορούμε να το κάνουμε με ένα μικρό μόριο που έχει σαφή in vivo δράση, όπως εξηγεί ο ίδιος. Η εν λόγω θεραπευτική μέθοδος δεν έχει αξιοποιηθεί ποτέ στο παρελθόν, απ’ όσο τουλάχιστον είναι γνωστά μέχρι σήμερα.
Βέβαια, εδώ θα πρέπει να γίνει μια πολύ σημαντική διευκρίνιση. Το γεγονός δηλαδή ότι η μέθοδος αυτή θα πρέπει να περάσει από πλήθος κλινικών δοκιμών πριν μπορέσει να πάρει την τελική μορφή ενός χαπιού, ωστόσο όμως τα πρώτ πειράματα σε ποντίκια είναι άκρως ενθαρρυντικά. Στο τέλος του άρθρου ακολουθούν οι επιστημονικές πηγές.
Ακολουθήστε το Techmaniacs.gr στο Google News για να διαβάζετε πρώτοι όλα τα τεχνολογικά νέα. Ένας ακόμα τρόπος να μαθαίνετε τα πάντα πρώτοι είναι να προσθέσετε το Techmaniacs.gr στον RSS feeder σας χρησιμοποιώντας τον σύνδεσμο: https://techmaniacs.gr/feed/.






























![Samsung Galaxy S26 Ultra Review: Είναι τελικά Ultra; [Βίντεο] Galaxy S26 ultra review](https://techmaniacs.gr/wp-content/uploads/2026/03/Galaxy-S26-ultra-review-218x150.webp)












